Lawmakers said Tuesday that the state cannot afford to pay for a study of downtown Augusta, putting on hold any plans to investigate whether merchants would do better with two-way, rather than one-way, traffic.
Susan M. Cover
Thurston Park auctioning trail, tree naming rights to fund access road fix
The Thurston Park Committee in China is giving nature lovers a rare opportunity to show their devotion to the outdoors by offering an online naming contest for two trails and four massive trees.
Augusta Spiritualist Church welcomes neighbors at new church building
The Augusta Spiritualist Church held an open house Saturday to welcome their neighbors and others to the property, which is behind the Barnes & Noble bookstore.
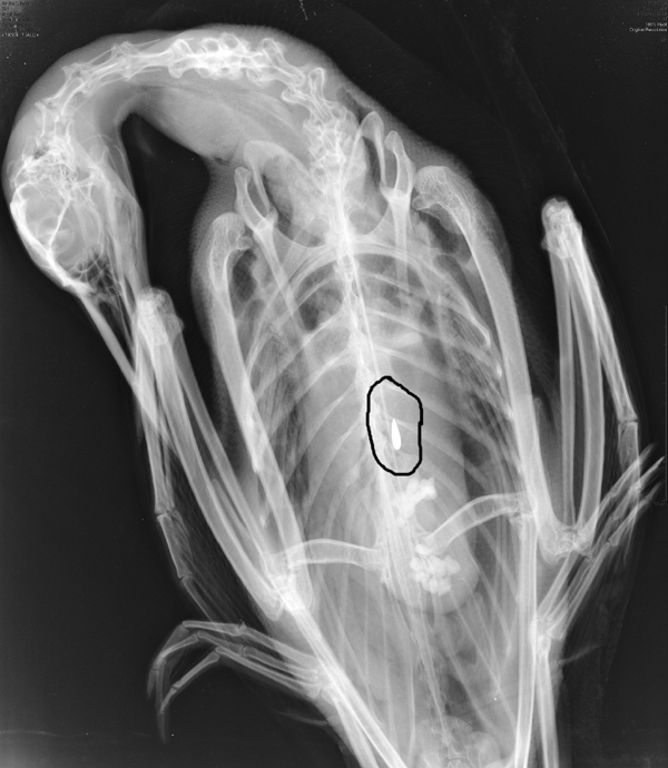
Bill aims to get lead out of Maine loons
It would ban fishermen from using sinkers and jigs made of lead, but some say the move is unnecessary.
Legislation would protect loons by banning lead sinkers
The former head of the Sportsman’s Alliance of Maine told lawmakers Thursday that fishermen shouldn’t continue using lead sinkers and jigs that harm loons on local lakes.
China hoping to recover cost of razing home
China is hoping to recover some of the more than $12,000 it spent on legal fees and demolition costs for the dilapidated buildings on Fire Road 60.
Health concerns of electromagnetic fields prompt lawmakers to review bill
Melissa Giroux of Chelsea is concerned of the potential health problems a powerful electric line soon to be installed in front of her home could cause for her children and Rep. Deborah Sanderson, R-Chelsea, has sponsored L.D. 950, “An Act to Establish the Electromagnetic Field Safety Act.”
Legislative committee urges review of rules on ambiguous business names
A Waterville couple’s concern about how the state approves business names led a legislative committee to vote Tuesday to require the Department of the Secretary of State to examine its practices.
China residents to consider slightly higher budget Saturday
China voters will consider a budget that is about $45,000 more than the current one and totals $2,086,187 when they go to Town Meeting on Saturday.
Legislative committee approves change to sex offender residency law
The Criminal Justice and Public Safety Committee voted to recommend passage of L.D. 498, preventing sex offenders from residing within 750 feet of the Capitol Area Recreation Association ballfields on the city’s east side.